Prevention & professional prophylaxis

Prevention is the cornerstone of our concept. We focus on preventing diseases instead of just fixing problems.

A regular visit to your dentist every six months is essential for this strategy to work. We will perform a thorough examination of your teeth, mouth, and jaw to monitor your health and to detect early any irregularities. Cancer-screening is part of this examination. The earlier we detect a problem the easier it is to fix it. At the same time, we will also guide you toward improving your oral and systemic health so that you maintain a healthy mouth and body.

prevention professional prophylaxis design best dental clinic in abu dhabi 1 1687872343

What is Dental Prophylaxis and How Often Should it be Done?

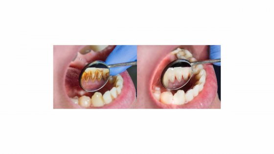
Dental Prophylaxis is essential for maintaining oral health. It should be performed between one to four times a year, depending on your individual situation. Regardless of how diligent you are with home oral care, a regular professional cleaning is required to prevent or stop the progression of gum diseases.

Dental biofilm is the main etiologic factor for caries, periodontal and peri-implant infections. Periodontitis can increase the risk of systemic diseases, such as cardiovascular and respiratory disease, arthritis or diabetes.

Regular oral hygiene combined with professional measures keeps biofilm under control.

We professionally clean your teeth using Guided Biofilm Therapy. It is a systematic, scientifically proven and predictable solution for dental biofilm management in professional prophylaxis using state of the art AIRFLOW® technology. The concept consists of treatment protocols based on individual patient diagnosis and risk assessment in order to achieve optimal results. The treatment focuses on the highest level of comfort, safety, and efficiency. It also includes giving precise oral hygiene instructions.

Plastic Surgery | Dental Services | Cosmetology | Laser